Меняем жизнь людей к лучшему
Наши преимущества
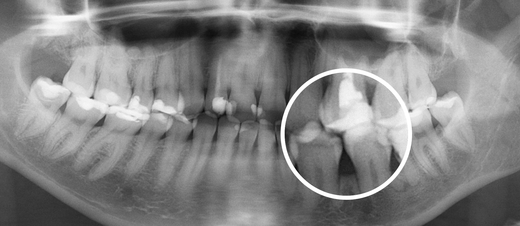
Диагнокат в стоматологии – это искусственный интеллект, который помогает стоматологу быстрее ставить диагнозы без ошибок. Теперь мы находим даже скрытые патологии на ранней стадии с точностью до 94%. Меньше рисков для вас, выше качество лечения и сохранение даже сложных зубов.
Нейросеть для стоматологий Diagnocat обучена на 50 000 компьютерных томограмм, которые предварительно проанализировали лучшие стоматологи. Она способна определять 65 различных состояний на 3D-снимках и более 20 на 2D-снимках. Все это занимает 5-7 минут – в сотни раз быстрее, чем справится даже лучший доктор.
Повысьте качество лечения, получите максимум информации о состоянии своей полости рта. Посетите нашу стоматологию с искусственным интеллектом Аксон-Дент в Сочи. Обнаружим даже самые скрытые проблемы и назначим лучшее лечение по цене от рублей.
ИИ находит все проблемы в полости рта за 5 минут |
ИИ защищает пациента от переплаты за лечение |
Запись на консультацию
Не откладывайте, запишитесь на консультацию прямо сейчас, перезвоним через 15 минут.
Что может искусственный интеллект в стоматологии
Стоматологическая нейросеть оценивает КТ и сверяет с информацией в своей обширной базе данных. Так она находит скрытые формы кариеса, периодонтиты и другие заболевания костной ткани, кисты, гранулемы и опухоли. Даже участки с минимальным подозрением отмечаются, чтобы ими занялся стоматолог.

Почему Diagnocat AI такой точный и вы можете ему доверять
Искусственный интеллект обучен на 50 000 КТ, которые предварительно оценили настоящие врачи. Поэтому в его базе данных содержится огромное количество случаев различной сложности. В результате у компьютера возникает огромное количество параметров, которые он анализирует с максимальной точностью. На такое не способен ни один человек.
У ИИ нет слепых зон и усталости. Он готов проанализировать зубочелюстную систему с одинаковым качеством и внимательностью утром и вечером. Он не подвержен когнитивным искажением, которые мешают поставить верный диагноз из-за кажущейся привычной проблемой.
Поэтому вы можете доверять рекомендациям, которые дает нейросеть. А наши стоматологи используют их в качестве базы для разработки комплексной терапии.

Запись на консультацию
Не откладывайте, запишитесь на консультацию прямо сейчас, перезвоним через 15 минут.
Как проходит диагностика с использованием искусственного интеллекта
- Диагностика. Направляем вас на КТ, где делаем 3D-снимок челюсти. От вас нужно только посидеть 30 секунд без движения. Никакого дискомфорта, проводов и неприятных ощущений. Доза облучения в 3 раза меньше, чем у классического рентгена.
- Загрузка результатов в ИИ. Отправляем ваши снимки в Diagnocat, который за 7 минут проверяет их по множеству параметров. В результате стоматолог получает визуализацию и презентацию всех обнаруженных проблем. Нейросеть подсвечивает, приближает и поясняет про состояние проблемных единиц.
- Подготовка плана лечения. Стоматолог подробно изучает отчет, сопоставляет его с вашими жалобами и предлагает варианты лечения. Раннее обнаружение в большинстве случаев помогает ограничиться консервативной терапией и сохранить зуб даже без хирургических вмешательств. Помните, мы не доверяем ИИ постановку диагноза – он только подсвечивает зоны риска. Окончательное решение всегда за опытным врачом.
Почему вы можете доверять диагностике зубов с помощью искусственного интеллекта
Большая база знаний. Больше 50 000 проанализированных результатов КТ, которые предварительно описали квалифицированные стоматологи. Это позволяет охватить типичные и уникальные случаи.
Клиническая валидация. Результаты работы ИИ протестированы в реальных условиях. Так разработчики системы смогли убедиться, что она работает в соответствии с ожиданиями стоматологов.
Сертификация по международным стандартам. ИИ Diagnocat разработан в России, но он качественный и уникальный. Поэтому нейросеть признали даже иностранные клиники и контролирующие организации.
Постоянное улучшение нейросети. Разработчики Диагнокат продолжают развитие программы. Она обучается на новых кейсах, становится лучше и способна обнаруживать даже самые незаметные заболевания на ранней стадии.
Запись на консультацию
Не откладывайте, запишитесь на консультацию прямо сейчас, перезвоним через 15 минут.
Преимущества диагностики на основе искусственного интеллекта в стоматологии
- Высокая точность диагностики. Диагностика с использованием искусственного интеллекта дает до 90% точности даже в сложных случаях. Значительное снижение рисков ошибки. Выше качество лечения.
- Быстрый результат. На проверку всей зубочелюстной системы достаточно 5-7 минут. Врач сможет быстрее принять информированное решение о подходящем лечении.
- Комплексный отчет о состоянии полости рта. Подробная информация о существующих и потенциальных стоматологических проблемах. Рекомендации по лечению и профилактике.
- Персонализированные рекомендации. Информация по каждому пациенту сохраняется в программе. Это позволяет повысить точность диагностики и лечения при последующих обращениях.
- Ускорение лечения. ИИ помогает снизить затраты времени на диагностику и саму терапию. Своевременное обнаружение проблемы помогает быстрее вылечить ее.
Запись на консультацию
Не откладывайте, запишитесь на консультацию прямо сейчас, перезвоним через 15 минут.
Цены на лечение с использованием ИИ в стоматологии в Сочи
Поддерживаем низкую цену на лечение с использованием ИИ в Аксон-Дент, чтобы как можно больше пациентов смогли повысить качество терапии. Оптимальная стоимость и высокая скорость помогут сохранить максимум зубов.
Стоимость комплексной консультации для первичных пациентов в Сочи
Выгодная рассрочка и помощь в возврате налогов
Экономьте на лечении с нами. Мы предлагаем выгодную рассрочку, чтобы вы посетили эстетическую стоматологию сегодня, а платили постепенно.
Дополнительно помогаем получить налоговый вычет. Так вы сможете вернуть до 13% от стоимости лечения! Узнайте больше во время консультации.
Удобная схема оплаты
- Помогаем вернуть 13% от стоимости лечения
Остались вопросы?
Мы ответим!
Отвечают эксперты
Запись на консультацию
Не откладывайте, запишитесь на консультацию прямо сейчас, перезвоним через 15 минут.
Отзывы о нашей клинике
Все отзывыМы за честность
Убедиться в наших отзывах легко — просто напишите пациентам, оставившим отзывы, и поинтересуйтесь о качестве услуг и сервиса нашей стоматологии
Пожалуйста, оставьте свой отзыв.
Это очень ценно для нас! Всего несколько слов о качестве, сервисе и результате
Написать отзывНаши врачи
Все врачиВ наших клиниках всегда чисто, уютно и спокойно
Проконсультируем вас по условиям и стоимости лечения, подберём врача и запишем вас на приём.Бесплатная консультация займёт всего 20–40 минут
Отзывы о стоматологии и репутация






